
IHC Tumor Vascularization
Segment tissue into tumor and healthy/stromal regions, detect blood vessels (e.g., CD31), and quantify vessel number, area, density, and connectivity within each compartment.
metastructures
tumor microenvironment
vascularization
blood vessels, tumor vascularization, tumor microenvironment, CD31, pancreas

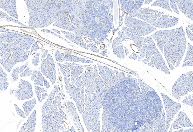
The IHC Tumor Vascularization APP provides tissue detection including the separation into tumor tissue and healthy tissue (or tumor stroma). It additionally detects blood vessels based on appropriate stains (e.g. CD31) and measures number and area of the blood vessels. The vessel detection also can be set to close open stained vessel walls and to connect separated vessel sections within a definable distance. The APP outputs number and vessel density as well as areas of vessels, within tumor tissue and healthy tissue.
Image courtesy of Dr. Patrick Michl, Dr. Maren Egidi and Dr. Heidi Griesmann, Universitätsklinikum Halle (Saale).

Original Image

Tumor detection

Vessel detection

Combined detection
vascularization

Application Note
01 Jun, 2023
Evaluating the Distance of Tumor Cells from Blood Vessels
tumor microenvironment

Blog Post
07 Apr, 2026
How immunofluorescence image analysis factors into NSCLC studies
metastructures

Blog Post
17 May, 2023
An Intro to Deep Learning in Biomedical Imaging
We support the following file formats:
- TissueFAXS (aqproj)
- StrataFAXS II (vmic)
- PreciPoint (vmic, gtif)
- Generic BigTIFF Import
- Support for multipage BigTIFF files
- OME-TIFF
- JPEG, PNG, BMP, TIFF
- Zeiss (czi)
- Hamamatsu NanoZoomer (ndpi)
- Aperio (svs)
- Leica (scn)
- 3D HISTECH Pannoramic
- Mirax (mrxs)
- Olympus (vsi)
- More slide scanners to be added!
Related Apps

IHC Angio
Detect blood vessels based on appropriate stains (e.g. CD31), measure vessel and lumen areas, and export vessel number, density, and areas of vessels, endothelium, and lumina.
blood vessels, tumor vascularization, tumor microenvironment, brightfield

IF Tumor Foci Angio
Detect single nuclei and segment tissue into tumor foci and blood vessels, apply proximity mapping to quantify nuclei distances to vessels, and measure compartment areas and nuclei distribution.
tumor, tumor microenvironment, blood vessels, tumor foci, spatial analysis

IF Tumor Vascularization
Segment tissue into tumor and stroma/healthy areas, detect CD31+ vessels, and quantify vessel number, area, density, and connectivity with configurable wall closing and distance linking.
vasculatization, cancer, stroma, tumor, blood vessels, CD31, spatial analysis, tumor microenvironment

Custom App development
Perfectly tailored image analysis solutions for your research.
You have a specific research question that needs to be answered? We offer custom development of image analysis pipelines for specific tasks, be it detection of cellular phenotypes or quantification of tissue structures. After discussing your goals with one of our experts, you will get a ready-to-use App and be a step closer to an impactful publication.