
IHC Angio
Detect blood vessels based on appropriate stains (e.g. CD31), measure vessel and lumen areas, and export vessel number, density, and areas of vessels, endothelium, and lumina.
metastructures
tumor microenvironment
vascularization
blood vessels, tumor vascularization, tumor microenvironment, brightfield

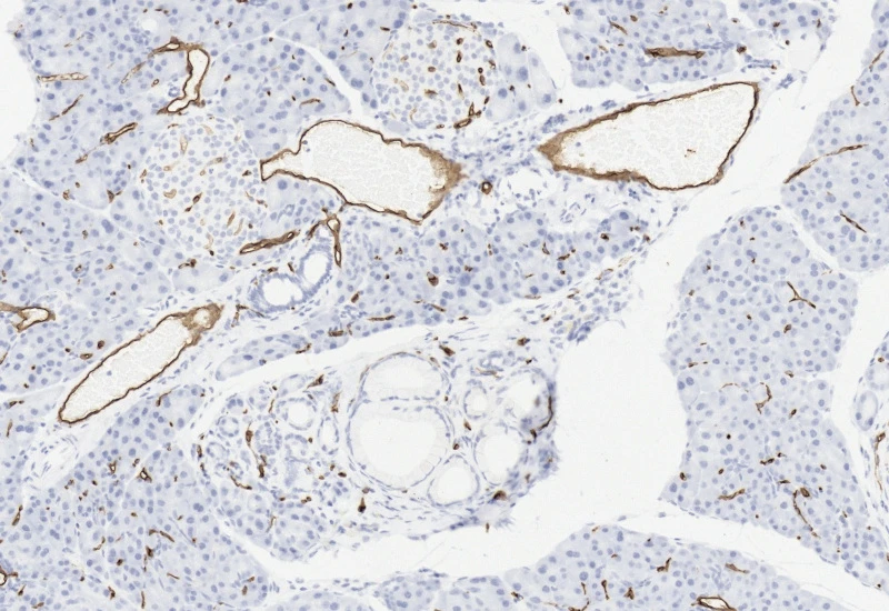
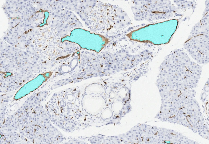
The IHC Angio App detects blood vessels based on appropriate stains (e.g. CD31) and measures overall vessel area as well as lumen area. The vessel detection also can be set to close open stained vessel walls and to connect separated vessel sections within a definable distance. The APP outputs number and vessel density as well as areas of vessels, endothelium and lumina.

Original image

Endothelial cell detection

Vessel lumen detection

Blood vessel detection
vascularization

Application Note
01 Jun, 2023
Evaluating the Distance of Tumor Cells from Blood Vessels
tumor microenvironment

Blog Post
07 Apr, 2026
How immunofluorescence image analysis factors into NSCLC studies
metastructures

Blog Post
17 May, 2023
An Intro to Deep Learning in Biomedical Imaging
We support the following file formats:
- TissueFAXS (aqproj)
- StrataFAXS II (vmic)
- PreciPoint (vmic, gtif)
- Generic BigTIFF Import
- Support for multipage BigTIFF files
- OME-TIFF
- JPEG, PNG, BMP, TIFF
- Zeiss (czi)
- Hamamatsu NanoZoomer (ndpi)
- Aperio (svs)
- Leica (scn)
- 3D HISTECH Pannoramic
- Mirax (mrxs)
- Olympus (vsi)
- More slide scanners to be added!
Related Apps

Sirius Red Angio
Detect Sirius Red–stained collagen and blood vessels, and quantify collagen area and total vessel count within the analyzed tissue.
sirius red, collagen, blood vessel, vascularization, liver

IF Tumor Vascularization
Segment tissue into tumor and stroma/healthy areas, detect CD31+ vessels, and quantify vessel number, area, density, and connectivity with configurable wall closing and distance linking.
vasculatization, cancer, stroma, tumor, blood vessels, CD31, spatial analysis, tumor microenvironment

Custom App development
Perfectly tailored image analysis solutions for your research.
You have a specific research question that needs to be answered? We offer custom development of image analysis pipelines for specific tasks, be it detection of cellular phenotypes or quantification of tissue structures. After discussing your goals with one of our experts, you will get a ready-to-use App and be a step closer to an impactful publication.
