
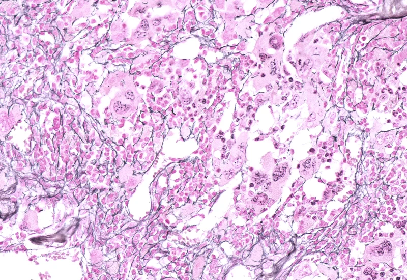
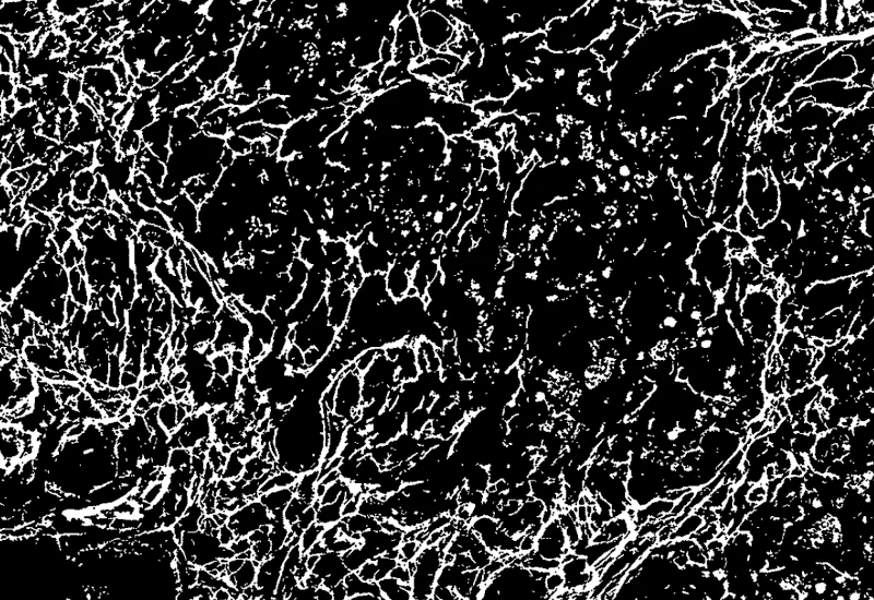
IHC Extracellular Filaments
Detect nuclei and extracellular filaments in IHC-stained sections, and quantify nuclei number, total filament area, and filament length.
metastructures
single-cell analysis
filaments

The IHC Extracellular Filament App detects nuclei as well as extracellular filaments stained with specific markers. It outputs the number of nuclei, the total gilaments area and the lenght of the filaments.

Original Image

Filament detection mask

Filament detection
single-cell analysis

White Paper
30 Mar, 2026
Understanding NeuroCOVID-19: SARS-CoV-2 Disrupts Astrocyte Homeostatic Functions
metastructures

Blog Post
17 May, 2023
An Intro to Deep Learning in Biomedical Imaging
We support the following file formats:
- TissueFAXS (aqproj)
- StrataFAXS II (vmic)
- PreciPoint (vmic, gtif)
- Generic BigTIFF Import
- Support for multipage BigTIFF files
- OME-TIFF
- JPEG, PNG, BMP, TIFF
- Zeiss (czi)
- Hamamatsu NanoZoomer (ndpi)
- Aperio (svs)
- Leica (scn)
- 3D HISTECH Pannoramic
- Mirax (mrxs)
- Olympus (vsi)
- More slide scanners to be added!
Related Apps

IHC Angio
Detect blood vessels based on appropriate stains (e.g. CD31), measure vessel and lumen areas, and export vessel number, density, and areas of vessels, endothelium, and lumina.
blood vessels, tumor vascularization, tumor microenvironment, brightfield

IHC Angio Trichome
Detect trichome-stained vessels, quantify vessel, lumen, and endothelium areas, measure wall thickness and density, and analyze spatial proximity of IHC-stained cells to vessels.
trichome staining, blood vessels, collagen, muscle fibres, spatial interactions

Custom App development
Perfectly tailored image analysis solutions for your research.
You have a specific research question that needs to be answered? We offer custom development of image analysis pipelines for specific tasks, be it detection of cellular phenotypes or quantification of tissue structures. After discussing your goals with one of our experts, you will get a ready-to-use App and be a step closer to an impactful publication.
