
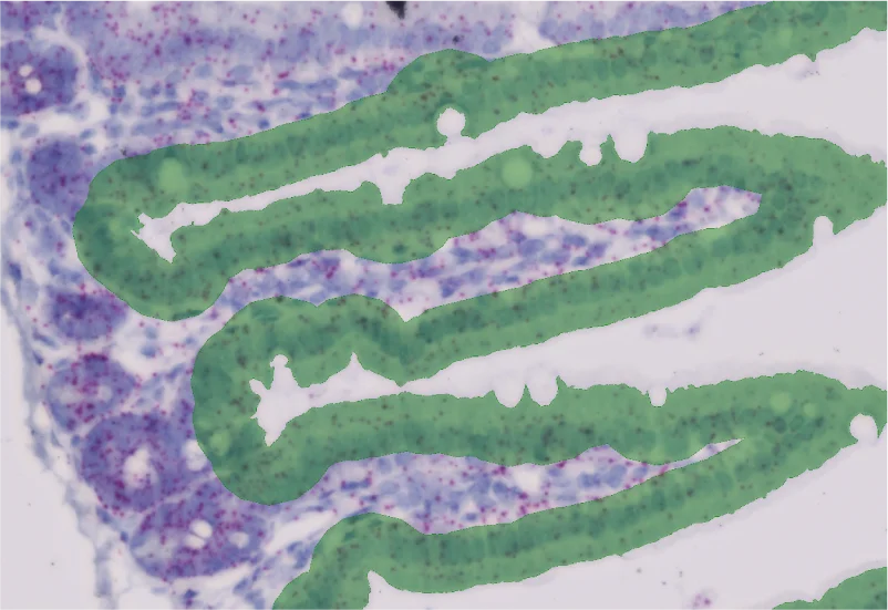
IHC Small Intestine - Dots
Segment nuclei and villi, detect single dot markers (CISH/RNAscope/SISH) in villi and manually defined crypts, and quantify dot count, area, intensity, and distribution per region.
metastructures
single-cell analysis
dot detection
small intestine, crypts, villi, RNAScope, CISH

The IHC Small Intestine - Dots App provides nuclei segmentation as well as detection of tissue and villi based on nuclei staining. crypts need to be defined manually. Furthermore it allows the dot detection for one dot markers (CISH, RNAScope, SISH) within villi and crypt area. Dot parameters are provided for villi and crypts and include count, mean intensity, total dot area, and sum of intensity as well as area and intensity lists for all single dots.
Image courtesy of Emma Nye, Head of Experimental Histopathology, The Francis Crick Institute, London, UK

Original Image

Villi detection

Crypt detection

Villi and dot detection
dot detection

Blog Post
15 Feb, 2023
Applications of AI in Cell Segmentation
single-cell analysis

White Paper
30 Mar, 2026
Understanding NeuroCOVID-19: SARS-CoV-2 Disrupts Astrocyte Homeostatic Functions
metastructures

Blog Post
17 May, 2023
An Intro to Deep Learning in Biomedical Imaging
We support the following file formats:
- TissueFAXS (aqproj)
- StrataFAXS II (vmic)
- PreciPoint (vmic, gtif)
- Generic BigTIFF Import
- Support for multipage BigTIFF files
- OME-TIFF
- JPEG, PNG, BMP, TIFF
- Zeiss (czi)
- Hamamatsu NanoZoomer (ndpi)
- Aperio (svs)
- Leica (scn)
- 3D HISTECH Pannoramic
- Mirax (mrxs)
- Olympus (vsi)
- More slide scanners to be added!
Related Apps

IF Dots
Detect dots-stainings per cell in up to four markers, segment cellular compartments, measure up to 20 intensity, statistic, and morphometric parameters, and quantify dot count, mean intensity, total area, intensity sum, and per-dot area/intensity per compartment.
cell culture, breast cancer, fluorescence, HER2

Custom App development
Perfectly tailored image analysis solutions for your research.
You have a specific research question that needs to be answered? We offer custom development of image analysis pipelines for specific tasks, be it detection of cellular phenotypes or quantification of tissue structures. After discussing your goals with one of our experts, you will get a ready-to-use App and be a step closer to an impactful publication.

