Dynamic Content Image

IHC Necrotic Tumor Angio

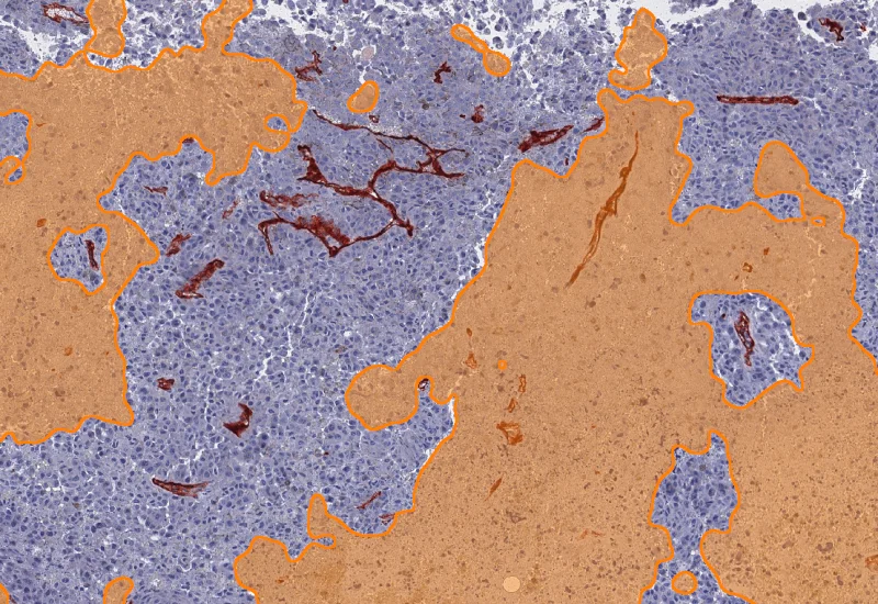
Segment tumor tissue into tumor, necrotic tissue, and blood vessels using an AI classifier, and quantify compartment areas, total vessel count, and vessel distribution across morphological entities.

metastructures

tumor microenvironment

vascularization

tumor immune microenvironment, tumor microenvironment, necrosis, blood vessles, vascularization, tumor

Dynamic Content Image

The IHC Necrotic Tumor Angio App is able to segment tumor tissues into tumor, necrotic tissue and blood vessels using the AI Classifier. It outputs area of tumor, necrotic tissue and blood vessels as well as the number and percentage of blood vessels in total and within the two morphological entities.

Dynamic Content Image

Original Image

Dynamic Content Image

Vessel detection

Dynamic Content Image

Necrotic tissue detection

Dynamic Content Image

Tumor detection

Dynamic Content Image

Combined detection

vascularization

Dynamic Content Image

Application Note

01 Jun, 2023

Evaluating the Distance of Tumor Cells from Blood Vessels

tumor microenvironment

Dynamic Content Image

Blog Post

07 Apr, 2026

How immunofluorescence image analysis factors into NSCLC studies

metastructures

Dynamic Content Image

Blog Post

17 May, 2023

An Intro to Deep Learning in Biomedical Imaging

We support the following file formats:

  • TissueFAXS (aqproj)
  • StrataFAXS II (vmic)
  • PreciPoint (vmic, gtif)
  • Generic BigTIFF Import
  • Support for multipage BigTIFF files
  • OME-TIFF
  • JPEG, PNG, BMP, TIFF
  • Zeiss (czi)

  • Hamamatsu NanoZoomer (ndpi)
  • Aperio (svs)
  • Leica (scn)
  • 3D HISTECH Pannoramic
  • Mirax (mrxs)
  • Olympus (vsi)
  • More slide scanners to be added!

Related Apps

Dynamic Content Image

IF Tumor Foci Angio

Detect single nuclei and segment tissue into tumor foci and blood vessels, apply proximity mapping to quantify nuclei distances to vessels, and measure compartment areas and nuclei distribution.

metastructures

single-cell analysis

tumor microenvironment

vascularization

tumor, tumor microenvironment, blood vessels, tumor foci, spatial analysis

Dynamic Content Image

IF Tumor Vascularization

Segment tissue into tumor and stroma/healthy areas, detect CD31+ vessels, and quantify vessel number, area, density, and connectivity with configurable wall closing and distance linking.

metastructures

tumor microenvironment

vascularization

vasculatization, cancer, stroma, tumor, blood vessels, CD31, spatial analysis, tumor microenvironment

Dynamic Content Image

IHC Necrotic Tumor

AI-based segmentation of tumor tissue into tumor, necrotic tissue, and stroma with neutrophil detection and compartment-based quantification.

metastructures

single-cell analysis

tumor microenvironment

immunophenotyping

neutrophiles, tumor, necrosis, necrotic tissue, immunophenotyping, mouse tissue

Image

Custom App development

Perfectly tailored image analysis solutions for your research.

You have a specific research question that needs to be answered? We offer custom development of image analysis pipelines for specific tasks, be it detection of cellular phenotypes or quantification of tissue structures. After discussing your goals with one of our experts, you will get a ready-to-use App and be a step closer to an impactful publication.

LogoOrangewhite2025

TissueGnostics GmbH
Taborstraße 10/2/8
1020 Vienna, Austria
+43 1 216 11 90 This email address is being protected from spambots. You need JavaScript enabled to view it.

Contact us

About Us

TissueGnostics provides advanced solutions for whole-slide imaging and image analysis in biological and clinical research. Our products help researchers to scan and analyze complex tissue samples, enabling more detailed insights into tissue structure, cellular interactions, and spatial cell landscape.

Keep in Touch

Be the first to hear about the latest scientific updates.

We use cookies

We use cookies on our website. Some of them are essential for the operation of the site, while others help us to improve this site and the user experience (tracking cookies).
You can decide for yourself whether you want to allow cookies or not. Please note that if you reject them, you may not be able to use all the functionalities of the site.