
IHC Macrophages
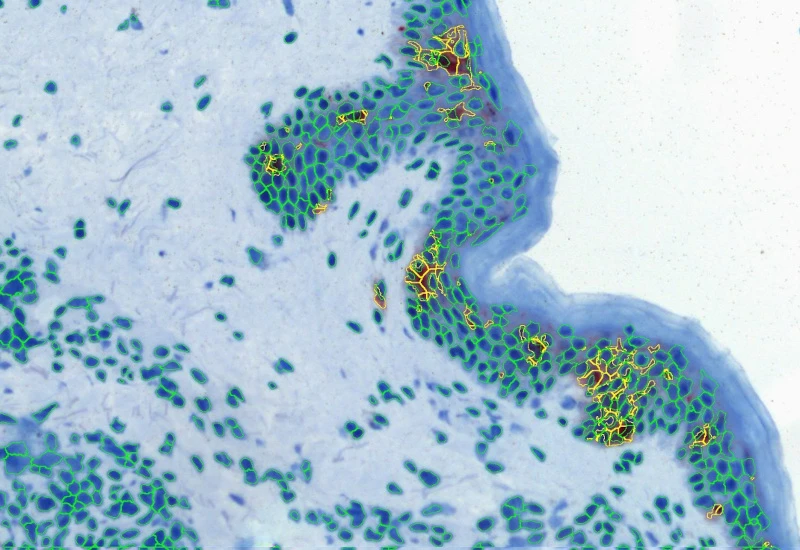
Detect macrophages in IHC samples, apply area and distance-range algorithms to measure Langerhans cell distances to the epidermis border inside/outside, and export up to 20 parameters per cell compartment plus boundary distance.
metastructures
single-cell analysis
immunophenotyping
immune cells, brightfield, macrophages, immunohistochemistry, epidermis, langerhans cells, dermatology, CD68

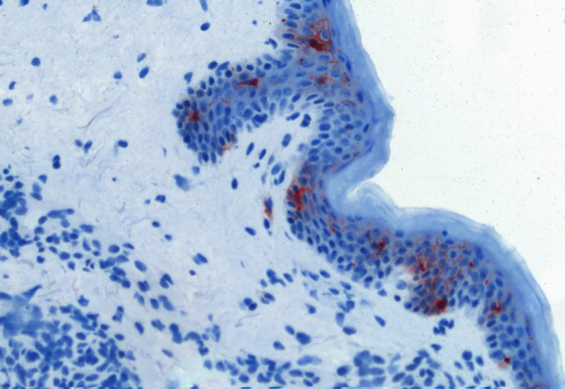
The IHC Macrophages App detects macrophages based on adequately stained IHC samples (e.g. CD68). The App further proves area detection and distance range algorithms to determine the distance of Langerhans cells from the border of the epidermis within and without. Each segmented cell compartment is measured for up to 20 parameters, as is the distance of each cell to the boundary.

Original image

Nuclei and marker detection

Dermis and epidermis detection

Combined detection
immunophenotyping

Webinar
20 Jan, 2026
Decoding Metastatic Potential in Colorectal Cancer Using Tissue Cytometry
single-cell analysis

White Paper
30 Mar, 2026
Understanding NeuroCOVID-19: SARS-CoV-2 Disrupts Astrocyte Homeostatic Functions
metastructures

Blog Post
17 May, 2023
An Intro to Deep Learning in Biomedical Imaging
We support the following file formats:
- TissueFAXS (aqproj)
- StrataFAXS II (vmic)
- PreciPoint (vmic, gtif)
- Generic BigTIFF Import
- Support for multipage BigTIFF files
- OME-TIFF
- JPEG, PNG, BMP, TIFF
- Zeiss (czi)
- Hamamatsu NanoZoomer (ndpi)
- Aperio (svs)
- Leica (scn)
- 3D HISTECH Pannoramic
- Mirax (mrxs)
- Olympus (vsi)
- More slide scanners to be added!
Related Apps

Custom App development
Perfectly tailored image analysis solutions for your research.
You have a specific research question that needs to be answered? We offer custom development of image analysis pipelines for specific tasks, be it detection of cellular phenotypes or quantification of tissue structures. After discussing your goals with one of our experts, you will get a ready-to-use App and be a step closer to an impactful publication.
