Dynamic Content Image

IF Brain App

Classify brain regions using an AI-based classifier and detect cellular phenotypes (e.g., astrocytes) based on markers, quantify tissue areas, total cells, and phenotype counts across regions.

metastructures

single-cell analysis

neuroscience

brain, mouse, astrocytes, machine learning

Dynamic Content Image

The IF Brain App allows the classification (using the AI based classifier) of brain regions and detection of various cellular phenotypes, e.g. astrocytes, based on stained linage markers. The App outputs area (µm2) of detected tissues classes, count of total cells as well as in each detected area. Count and % of specific phenotype detected in total as well as in tissue classes.

Dynamic Content Image

Original Image

Dynamic Content Image

Nuclei and cell detection

Dynamic Content Image

Astrocyte detection

Dynamic Content Image

Vessel detection

Dynamic Content Image

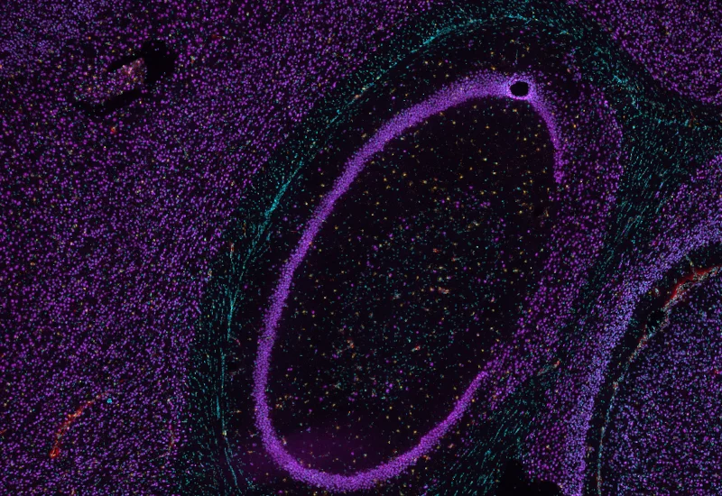
Brain region

Dynamic Content Image

Metastructure detection

neuroscience

Dynamic Content Image

White Paper

30 Mar, 2026

Understanding NeuroCOVID-19: SARS-CoV-2 Disrupts Astrocyte Homeostatic Functions

single-cell analysis

Dynamic Content Image

White Paper

30 Mar, 2026

Understanding NeuroCOVID-19: SARS-CoV-2 Disrupts Astrocyte Homeostatic Functions

metastructures

Dynamic Content Image

Blog Post

17 May, 2023

An Intro to Deep Learning in Biomedical Imaging

We support the following file formats:

  • TissueFAXS (aqproj)
  • StrataFAXS II (vmic)
  • PreciPoint (vmic, gtif)
  • Generic BigTIFF Import
  • Support for multipage BigTIFF files
  • OME-TIFF
  • JPEG, PNG, BMP, TIFF
  • Zeiss (czi)

  • Hamamatsu NanoZoomer (ndpi)
  • Aperio (svs)
  • Leica (scn)
  • 3D HISTECH Pannoramic
  • Mirax (mrxs)
  • Olympus (vsi)
  • More slide scanners to be added!

Related Apps

Dynamic Content Image

IF Dendrites & Axons

Detect neurons, segment dendrites and axons, and quantify dendrite number per neuron and total dendrite and axon length.

intracellular analysis

single-cell analysis

neuroscience

cell culture

dendrites, neuron, axon, neuroscience, cell culture, primary dentrites, secondary dentrites, branches

Dynamic Content Image

IF Glial cells

Detect astrocytes and microglia in IF-stained samples and measure cell counts and the number of short and long branches per cell.

single-cell analysis

neuroscience

microglia, central nervous system, peripheral nervous system, phagocytosis, astrocytes, branches, fluorescence

Dynamic Content Image

IF Neurite

Detect neuronal cells and clusters with their neurites/dendrites, quantify branching per neuron, and export total area, length, average thickness, branch points, and endpoints.

single-cell analysis

neuroscience

cell culture

cell culture, fluorescence, neurites

Image

Custom App development

Perfectly tailored image analysis solutions for your research.

You have a specific research question that needs to be answered? We offer custom development of image analysis pipelines for specific tasks, be it detection of cellular phenotypes or quantification of tissue structures. After discussing your goals with one of our experts, you will get a ready-to-use App and be a step closer to an impactful publication.

LogoOrangewhite2025

TissueGnostics GmbH
Taborstraße 10/2/8
1020 Vienna, Austria
+43 1 216 11 90 This email address is being protected from spambots. You need JavaScript enabled to view it.

Contact us

About Us

TissueGnostics provides advanced solutions for whole-slide imaging and image analysis in biological and clinical research. Our products help researchers to scan and analyze complex tissue samples, enabling more detailed insights into tissue structure, cellular interactions, and spatial cell landscape.

Keep in Touch

Be the first to hear about the latest scientific updates.

We use cookies

We use cookies on our website. Some of them are essential for the operation of the site, while others help us to improve this site and the user experience (tracking cookies).
You can decide for yourself whether you want to allow cookies or not. Please note that if you reject them, you may not be able to use all the functionalities of the site.