No items found.
Look through our StrataQuest Apps and get inspired by the variety of biomedical image analysis applications. If you cannot find the perfect solution for your research question please contact us. TissueGnostics offers the development of customized Apps for your specific analysis needs. Contact us for pricing details.
![]()
TissueGnostics GmbH
Taborstraße 10/2/8
1020 Vienna, Austria
+43 1 216 11 90
TissueGnostics provides advanced solutions for whole-slide imaging and image analysis in biological and clinical research. Our products help researchers to scan and analyze complex tissue samples, enabling more detailed insights into tissue structure, cellular interactions, and spatial cell landscape.

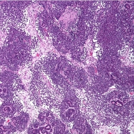
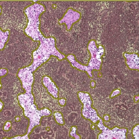
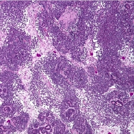
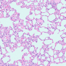
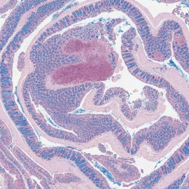
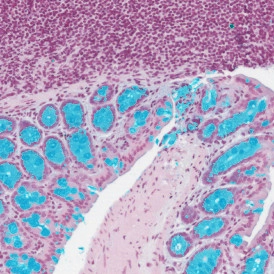
The IHC Swiss Roll App allows for detection of the swiss roll, and the segmentation into different subclasses (mucosa, immune cell follicles, connective tissue, background). Further it detects nuclei and identifies phenotypes based on specific stains. The App outputs area (µm2) of detected tissues/tissue classes, count of total cells as well as in each detected area. Count and % of specific phenotype detected in total as well as in the tissue classes.
App Category 2